Bullous emphysema is a medical condition in which spherical air sacs in the lungs become severely enlarged and eventually rupture and deteriorate. Individuals with progressive bullous emphysema often experience chest pain, difficulty breathing, chronic coughing, and other debilitating symptoms related to a lack of oxygen in the blood. In the most severe cases, the condition can cause one or both lungs to collapse and necessitate emergency surgery to restore or remove a lung. A person who believes he or she may be experiencing the first signs of the disorder should consult a doctor immediately to make a proper diagnosis and arrange for treatment.
Normal human lungs rely on small air sacs to intake oxygen and distribute it into the blood. In the case of bullous emphysema, the air sacs become overinflated and cystic, putting excess strain on normal lung tissue and blocking oxygen from reaching the bloodstream. The air sacs often become inflamed and can even rupture, which severely limits lung functioning. Doctors and medical researchers have identified smoking, sarcoidosis, and genetic tendencies as the most common causes of bullous emphysema. Some people are born with a deficiency in their ability to produce alpha1-antitrypsin, which makes it more likely that they will get emphysema at an earlier age. However, deficiency in alpha-1-antitrypsin accounts for only a small percentage of all people with emphysema. Exposure to airborne pathogens, bronchitis, and chronic obstructive pulmonary disease can also contribute to the development of the condition. Emphysema frequently occurs together with chronic bronchitis, and together these two diseases are called chronic obstructive pulmonary disease (COPD).
The symptoms of the disease do not occur in the beginning of the disease. They become evident only when sufficient amount of lung tissue has been destroyed. Most people with bullous emphysema experience shortness of breath, wheezing, coughing up phlegm, and centralized pain in their chests, especially when engaging in physical activity. Some patients suffer from nausea, loss of appetite, and fatigue as a result of constant breathing problems. Lowered oxygen levels in the blood can result in heart problems, weakness, and discoloration of the fingernails and toenails.
Some people with advanced Bullous emphysema will not be able to exercise at all. A person might be directed to take steroids. If they are unable to catch their breath because of their condition, they might be put on an oxygen tank, which is a machine that essentially breathes for them. If an individual is unable to eat because of their Bullous emphysema, they might be fed intravenously. The last resort for treatment of Bullous emphysema is a lung transplant. If the lung is severely damaged enough to warrant removal, then a lung transplant will be performed. Both death and infection might be possible so doctors do not like to perform this until there are no other options for treating the Bullous emphysema.
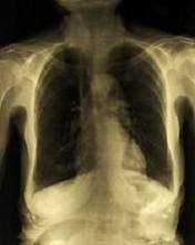
Trained physicians can perform a number of tests to diagnose bullous emphysema. A patient may be asked to blow into a spirometer to measure lung capacity or wear an oximeter on his or her finger to calculate oxygen levels in the blood. A doctor may also take x-rays or computerized tomography scans to check for the presence of enlarged and damaged air sacs. Once emphysema is determined to be the cause of a patient’s symptoms, the physician can design an individualized treatment plan.
Treatment for bullous emphysema usually focuses on increasing airflow into the lungs. This can be accomplished by quitting smoking, taking antibiotics to control swelling or infections, using inhalers that contain concentrated prescription steroids, or utilizing a supplemental oxygen machine. In order to reduce the size of the inflamed air sacs, steroids in the form of inhalers, might be prescribed. In severe cases of emphysema or emergency situations where a lung has collapsed, surgery may be necessary to remove damaged areas of lungs or entire organs. Lung transplants are usually considered a final option in relieving symptoms.
Bullous emphysema is just as deadly as regular emphysema. One should keep in mind that smoking is the main cause for Bullous emphysema. An individual who smokes will be instructed to quit immediately after they are diagnosed with Bullous emphysema. The best treatment plan might not help at all if a person still smokes. If an individual quits smoking immediately they will usually have a higher life expectancy than people who continue to smoke. Although Bullous emphysema is not curable, an individual in the early stages of it might be able to live comfortably. In fact, a person who is in the early stages of Bullous emphysema who quits smoking could have the same life expectancy as any other person.
