Vital Facts About Nerve Pain in Hip

Mobility is very important. If you can move with ease, you could accomplish so many tasks everyday. Your hips play a vital part in your overall movement. The joint of your hips is the one that attached your legs to your torso. Pain in that part of the body often comes from the hip joint but it could also arise from the parts that surround it.

Nerve pain in hip can be caused by any kind of inflammation but the most common is trauma. This condition can come from the surrounding structures of the hip. In the hip joint, there is fluid present that allows the head of the femur to fit comfortably in the acetabulum. If there is any injury acquired by this area, blood or additional fluid will fill this space. This additional fluid expands the hip capsule and then, you experience pain. If the labrum that covers the acetabulum gets torn, pain could also result. Other sources of nerve pain in hip may be from inguinal hernia; from the inflamed sciatic nerve that originates from L1 and L2; or from the thigh’s lateral femoral cutaneous nerve.

The following are some more facts that you could discuss with your doctor:

1. Causes

The most common cause of nerve pain in hip is trauma. Some of the injuries that result to pain in that area are hip fracture, bruises/contusions, overuse, inflammation of bursa, non-traumatic nerve pain in hip and referred hip pain.  Hip fracture may be caused by aging, osteoporosis, and falls. The fracture usually happens at the upper portion of the femoral bone. This makes the acetabulum separate from the head of the femur. Bruises/contusions and even strains/sprains may also be a result of injury. Although these injuries may involve no bones that are broken, tendons and muscles may be damaged. This may be a result of forceful movements. When you overuse your hips, nerve pain in hip may also come about. This is due to the kinds of stressful activities that you have to do everyday. The structure called trochanteric bursa is a capsule that protects the tendons and muscles near the greater trochanter. Over usage or trauma may cause this inflammation. Non-traumatic nerve pain in hip can be because of so many other conditions like synovitis (inflammation of the synovium). This condition makes fluid seep into the hip joint resulting to pain and swelling. Some other non-traumatic causes are osteoarthritis, rheumatoid arthritis, ankylosing spondylitis, arthritis with ulceratice colitis or Crohn’s disease, sickle cell disease, bacterial or viral diseases, avascular necrosis (head of femur), Legg-Valve-Parthes disease, and fibromyalgia. Referred hip pain is nerve pain in hip that comes from hernia, maralgi paresthetica, and sciatica.

 

 

2. Symptoms

Symptoms of nerve pain in hip that you may experience are pain, limping, and arthritis. Pain usually comes from the front of your hip that my radiate to the buttocks or the outside hip area. Limping is a form of your body’s compensation by minimizing the weight that the hip supports as you walk. It is not normal to limp. This results to the other stresses on other joints of the body including ankles, knees, and back.

 

 

 

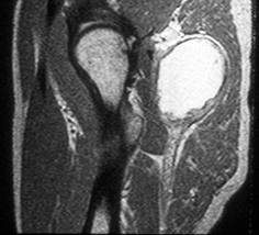
3. Diagnosis

The proper diagnosis of nerve pain in hip starts with obtaining the health history of the patient. The doctor will also be asking questions about the onset of the pain and the triggers that worsen it; onset of fever; presence of diarrhea; and hurting in the abdomen or other joints. Physical examination will also be done. Then, imaging tests such as X-rays, CT scan, bone scan, and magnetic resonance imaging (MRI). Blood tests that include lymphocyte count, ESR (erythrocyte sedimentation rate) and CRP (C-reactive protein) are done to confirm nerve pain in hip.

 

 

4. Treatment

The treatment for nerve pain in hip depends on the underlying diseases and the diagnosis itself. The underlying disease may have to be cures first if this is the primary cause of the nerve pain in hip.

 

 

 

 

 

5. Prevention

Supplementations such as biophosphonates, calcium, and vitamin D may help in the prevention of osteoporosis and may therefore prevent nerve pain in hip. You should also lessen the risk of breaking hips due to falling. Good shoes, walkers, and canes could also help in making you safe as you move. Make sure that the areas you frequent are not slippery or cluttered. Good posture, strength, and flexibility should also be maintained so that you may not experience nerve pain in hip.

 

 

 

 

If you could have your nerve pain in hip detected and treated immediately, you will surely be back doing your usual activities. Complete recovery is assured if you change your lifestyle and diet.

Leave a Reply

Your email address will not be published. Required fields are marked *