10 Basic Types of Breast Cancer Tumors

Breast cancer is now having full attention from the medical world. So many women battle this disease every day for the rest of their lives.  Although it is normally called breast cancer or cancer of the breast, this actually has so many types. Breast cancer tumors can be non-invasive, invasive, and rare. Your oncologist should identify your breast cancer very well so that proper treatment and management can be given head-on. Being familiar with the type of breast cancer that you have also depends on your eagerness to get over this condition.

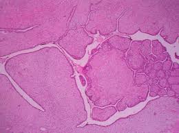
When you talk about non-invasive breast cancer tumors, you talk about growths that are at the early stage. They remain “in situ” or “in the site” or “in the area of origin”. It is normal for these tumors to be undetectable by touching because they are not lumpy or bulging yet. They are usually seen through a breast x-ray or mammography. These breast cancer tumors are either DCIS or ductal carcinoma in situ or LCIS or lobular carcinoma in situ. Invasive breast cancer tumors are those that already penetrate the ducts and the lobules. They can already spread out in the area of the breast and not only on one area. These are either lobular carcinoma or ductal carcinoma. These tumors may cause your nipples to retract and skin to change. Rare breast cancer tumors usually grow or originate from the connective tissues, muscles, or fats of the breast.

Here are some of the various types of breast cancer tumors that you may want to discuss with your doctor:

 

1. DCIS or ductal carcinoma in situ

These breast cancer tumors are also known as non-invasive ductal carcinomas. They have characteristics that project malignancy when viewed with the help of a microscope. These breast cancer tumors are usually very hard to evaluate with regard to their tendency to multiply or divide. DCISs are breast cancer tumors that have not yet penetrated the tissues around the site itself but you have to remember that these may be very well the starters or precursors of breast cancer tumors that are invasive. Those breast cancer tumors that are high-grade DCIS become invasive every year. At present, it is still being discussed id DCIS could be treated by mastectomy, with the use of radiation, or without radiation.

 

2. LCIS or lobular carcinoma in situ

LCISs are breast cancer tumors that are also known as non-invasive lobular carcinoma. These are growths that are common in menopausal women. These breast cancer tumors are found in more than one area of the breast, commonly found in both breasts, usually referred to a multifocal. Patients with these breast cancer tumors, usually do not end up with invasive type of breast cancer. Another condition (Paget’s disease) is a cancer that affects the nipple slowly. This occurs in middle-aged women and is usually mistaken for eczema or dermatitis. This only affects one breast.

 

 

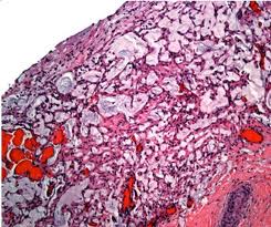
3. Lobular carcinoma

In 5 to 10 percent of all very invasive breast cancer tumors, lobular carcinomas occur. This is not the lumpy type of breast cancer that is why it is very difficult to detect and diagnose. But through mammography, your doctor may have ca very good confirmation of lobular carcinoma. Usually, these are felt as irregularly shaped thickening inside of the breast. These breast cancer tumors can occur on both friend but only to about less than 5 percent of cases.

 

 

4. Tubular cancer

These are lobular breast cancer tumors that grow slowly and are shaped like tubes.

 

 

 

 

 

5. Medullary cancers

These are lobular breast cancer tumors that resemble the medulla or gray matter of your brain.

 

 

 

 

 

6. Mucinus cancers

These lobular breast cancer tumors contain mucous protein.

 

 

 

 

 

 

7. Inflammatory carcinoma

Inflammatory carcinomas are breast cancer tumors that are diagnosed as very serious and really spread very quickly. They manifest themselves through warmth of the skin, redness, and swelling. With this, these breast cancer tumors are often mistaken for mastitis. Inflammatory sarcoma is mainly caused by the breast cancer tumors that block the lymph nodes. Many women have already died from inflammatory sarcoma.

 

 

 

8. Angiosarcoma

These rare breast cancer tumors are also known as hemoangiosarcoma. Angiosarcoma has cells that produce fiber and cells that line the cavities.

 

 

 

 

 

9. Cystosarcoma phylloides

These are breast cancer tumors that manifest in middle-aged women who have had fibroadenoma before.

 

 

 

 

 

10. Primary lymphoma

Primary lymphoma directly affects the lymphatic tissues found inside the breast.

 

 

 

 

 

 

To really know what kind of breast cancer tumors that you have, you should cooperate with your doctor in diagnosing and testing. With this effort, proper treatment and management of your cancer could then be done.

 

Leave a Reply

Your email address will not be published. Required fields are marked *